自分らしく噛める、笑顔になれる。
一つでも多くの喜びを
最新設備・機器が充実し、リラックスできる院内で、
しっかりと治療に集中できる環境を整えています。
TROUBLE
このようなお悩みはありませんか
- 歯周病で歯を失った
- 手術が怖い
- 入れ歯が合わない
- 歯が欠けた
- 違和感の少ない治療をしたい
- しっかりと噛み、食事や会話を楽しみたい
- 他院でインプラント治療を断られてしまった
IMPLANT
インプラント治療とは?
行橋市のすみむら歯科行橋クリニックのインプラント治療を
ご検討ください
インプラント治療は、歯を失った部分に人工の歯根を埋め込み、その上に人工歯を取り付ける治療法です。
これにより、見た目の美しさと共に、「噛む」「話す」といった、天然の歯と変わらない機能を取り戻すことができます。
また、周囲の健康な歯に負担をかけないのが大きな特長です。
FEATURE
すみむら歯科行橋クリニックの
インプラント治療の特徴

最新の設備を駆使し安心安全に
患者さまのゴールを一緒に目指す
行橋市のすみむら歯科行橋クリニックでは検査機など治療機器が充実しています。また、経験実績が豊富な医師と歯科衛生士がしっかりとサポートいたします。患者さまの不安を取り除きながら、お一人おひとりが目指すゴールへと一緒に向かっていきましょう。

丁寧かつ適切なカウンセリングを
もとに患者さまにあった資料作成
インプラント治療で最も大切にしているのが最初のカウンセリングです。行橋市のすみむら歯科行橋クリニックでは、まずはどんな治療なのかを具体的に知っていただくために、わかりやすい資料を用意しています。そして、患者さまの不安や疑問も含めて、じっくりとお話しをしながら理解を深めていただきます 。
サージカルガイドを使用した
安心安全且つ精密な治療を実現
行橋市のすみむら歯科行橋クリニックでは、インプラント治療の安全性を高めるため、「サージカルガイド」という装置を導入。プラス
チック製のマウスピース型装置が、手術の精度と安全性を向上させ、切開範囲や手術時間の短縮に貢献します。
-

サージカルガイド
-

口腔外バキューム
-

レントゲン

最新の設備と環境
行橋市のすみむら歯科行橋クリニックでは、安心してインプラント治療を受けていただける環境を整えています。歯科用CTスキャンや口腔内スキャナーなどの最新機器も充実。リラックスできる診察室も確保していますので、安心して治療に専念していただけます。

安心安全な国産インプラント
メーカーを採用
行橋市のすみむら歯科行橋クリニックでは、日本製の京セラ社製インプラントを使用しています。純国産であることから、患者さまにも安心感をお持ちいただけるだけでなく、長年の治療実績に裏付けられた高い信頼性があります。インプラントの脱落といったトラブルが少ないことも、このメーカーを選ぶ大きな理由です。

衛生士を担当制にしている
ため手術後も安心
行橋市のすみむら歯科行橋クリニックでは歯科衛生士が担当制のため、術後も安心していただけます。
些細な変化にも気づき、何でも相談できる関係を築きます。担当衛生士が、術後のお口の健康をしっかりサポートします。
CASE
症例紹介
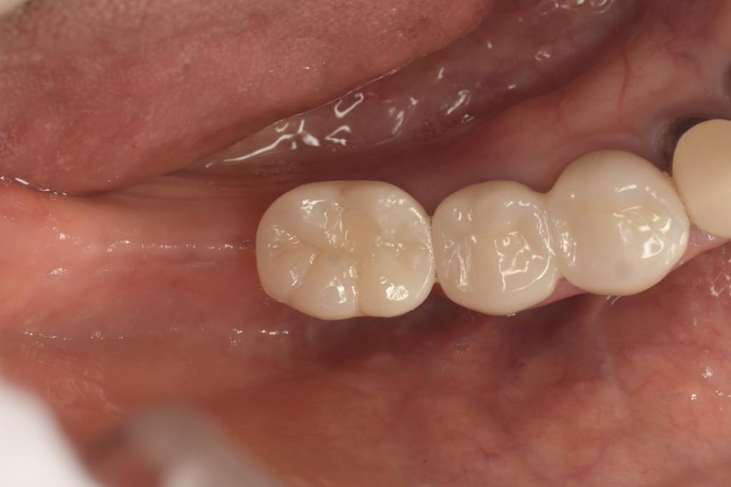
CASE 01



| 主訴 | 歯が割れた |
| 治療内容 | 左下6番 インプラント治療(骨の再生療法含む) |
| 治療回数 | 14回 |
| 治療費用 | ¥460,000 |
| 想定される副作用 | 腫れ、痛み |
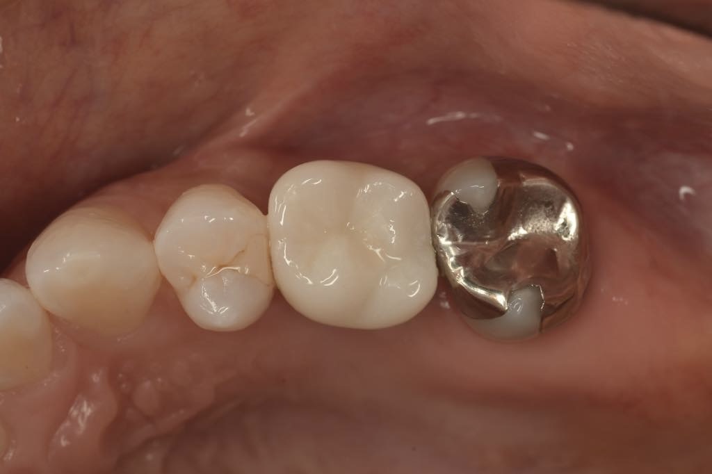
CASE 02



| 主訴 | 右下奥歯が欲しい |
| 治療内容 | 右下6番 インプラント治療 |
| 治療回数 | 8回 |
| 治療費用 | ¥390,000 |
| 想定される副作用 | 腫れ、痛み |
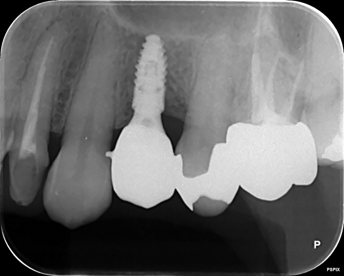
CASE 03



| 主訴 | 歯がないところにインプラントをして欲しい |
| 治療内容 | 左上6番 サイナスリフト+インプラント |
| 治療回数 | 12回 |
| 治療費用 | ¥492,000 |
| 想定される副作用 | 腫れ、痛み |
CASE 04



| 主訴 | 歯がないところにインプラントをして欲しい |
| 治療内容 | 左上4番 インプラント |
| 治療回数 | 8回 |
| 治療費用 | ¥412,000 |
| 想定される副作用 | 腫れ、痛み |
住村院長が誠実に丁寧にご相談を承ります!
お気軽にご相談下さい。
CONSULTATION
無料相談では、さまざまなお悩み・ご質問にお答えしています
ご挨拶
はじめまして。
「すみむら歯科行橋クリニック」院長の住村瞬です。
当院では、患者さま一人ひとりに合わせた丁寧な治療計画を説明し、安心して通院していただけるよう努めております。患者さまもスタッフも、誰もが笑顔になれる歯科医院が私の理想です。
インプラント治療は、すべての患者さまにとって最善の治療とは限りませんが、治療の選択肢として非常にメリットの大きい治療法だと考えています。
まずは、インプラントについて十分に理解していただき、他の治療法と比べてご自身にとって最適な選択肢かどうかをご検討いただければ幸いです。















